Con la AGENESIA DELL’INCISIVO LATERALE puoi passare da “BUCO E SPAZI” a “SORRISO PIENO” con un percorso fatto bene.
Se ti manca un incisivo laterale superiore (il dentino davanti, a destra o a sinistra), non sei “un caso raro”.
Nel video ti spieghiamo cosa succede in circa 1–3 persone su 100. Quindi è più frequente di quanto pensi.
E quando manca un dente davanti, non è solo un dettaglio estetico.

È come avere un bottone mancante sulla camicia: anche se tutto il resto è a posto, l’occhio va lì.
CLICCA QUI PER VEDERE IL VIDEO DEL CASO DEL NOSTRO PAZIENTE!
IL PROBLEMA CHE VIVI TU (E PERCHÉ TI CAMBIA LA VITA)
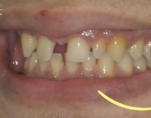
Quando ti manca un dente davanti, spesso compaiono spazi tra i denti. Spazi veri, che si vedono quando parli e quando sorridi.
La situazione è chiara: questi spazi impattano sul sorriso in modo decisivo.
Tu magari ci convivi da anni.
Ma ogni volta che sorridi, una parte di te pensa: “Si vede. Mi guardano lì.”
E piano piano inizi a sorridere meno, oppure sorridi “a metà”.
Non perché sei vanitoso.
Perché è normale: il sorriso è la tua porta d’ingresso. Se la porta ha un buco, ti senti meno sicuro.
LA SOLUZIONE NON È “METTERE UN DENTE” E BASTA
Qui arriva il punto più importante: non è un lavoro che viene eseguito solo da una persona.
Sono casi multidisciplinari.
Cosa vuol dire? Vuol dire che per avere un risultato bello e stabile, serve una squadra. Come quando devi ristrutturare casa: non basta il muratore, servono anche l’elettricista e l’idraulico.
è indispensabile che più dottori collaborino insieme:
chi si occupa di ortodonzia, chi ricostruisce i denti, chi fa chirurgia e impianti, e quando serve chi si occupa di gengive.
Perché l’obiettivo non è “coprire il buco”.
L’obiettivo è farti tornare a sorridere sereno, con un risultato armonico.
PERCHÉ SERVE PRIMA “METTERE IN ORDINE I DENTI”
Nel video puoi vedere una cosa semplice: se gli spazi sono troppo grandi e tu provi solo a “ingrandire i denti” per riempirli, ti ritrovi denti sproporzionati.
L’immagine che vedi è molto chiara: verrebbero dei denti enormi, poco naturali.
Quindi, prima di tutto si fa uno studio del caso: foto del viso, foto dei denti, radiografie (come teleradiografia e panoramica) per capire bene inclinazioni, spazio, osso e situazione generale. E si vede chiaramente l’assenza del dente.
Poi si parte con l’ortodonzia: in questi casi spesso i denti vanno avvicinati e gli spazi vanno gestiti.
Non per “ammassare” i denti, ma per creare proporzioni giuste.
LA SOLUZIONE DEL VIDEO: UN PERCORSO A TAPPE, FATTO PER NON LASCIARTI MAI SENZA SORRISO
Nel caso raccontato, il percorso è proprio questo (e lo spiega passo dopo passo).
Si inizia con l’ortodonzia per migliorare la posizione dei denti e ridurre gli spazi.
Il paziente aveva già una buona chiusura dei denti, ma gli spazi davanti erano troppo ampi. Quindi si avvicinano i denti tra loro, così il sorriso diventa più “compatto” e naturale.
A questo punto entra in gioco il collega che si occupa di conservativa ed estetica: ricostruisce i denti con composito, li rende più grandi ma nel modo giusto, in armonia con la bocca.
E nel frattempo, per non lasciarti con il buco davanti, nel video viene usata una soluzione provvisoria molto concreta: un Maryland adesivo, cioè un dentino “finto” incollato al dente vicino.
È come mettere una tessera provvisoria nel puzzle: tu continui a sorridere mentre si lavora al risultato definitivo.
Poi si torna di nuovo dall’ortodontista per un secondo passaggio: si rifinisce la chiusura, si ottimizza l’incastro dei denti “da libro”, e si chiudono gli spazi residui che con le sole ricostruzioni non si riuscirebbe a eliminare.
Arrivati qui, il sorriso è già migliorato.
Ma ora se vuoi un dente davvero stabile, non basta il dentino incollato.
Serve un dente “vero”, fisso, che non si stacchi.
E allora si valuta l’osso nella zona del dente mancante, e si procede con l’impianto. Dopo l’inserimento, si aspetta l’osteointegrazione (si parla di 3–4 mesi).
Durante questa attesa, però, non rimani senza dente: il dentino provvisorio viene rimesso, così esci dallo studio con il sorriso.
Infine si mette la corona definitiva sopra l’impianto. Una corona avvitata su una “radice” in titanio.
Metafora: è come fissare una mensola con un tassello solido dentro al muro. Non balla.
IL RISULTATO: NON SOLO PIÙ “BELLO”, MA ANCHE PIÙ “GIUSTO”
Nel video non si parla solo di estetica.
Si parla anche di incastro dei denti: prima non era ottimale, poi diventa ideale.
Perché quando i denti chiudono bene, tutto funziona meglio: stabilità, comfort, armonia del sorriso.
E infatti la parte che il dottore definisce “la più bella” è proprio quella finale: vedere il sorriso completo e naturale.
Se pensi (o sai già) di avere l’agenesia dell’incisivo laterale o un dente davanti mancante, la cosa migliore è fare il primo passo: capire da dove si parte.
Perché questi casi si risolvono, ma vanno fatti con ordine, come nel video:
prima si studia, poi si gestiscono gli spazi, poi si armonizza, poi si rende stabile.
Di Gioia Martinetti STP A RL INFORMAZIONE SANITARIA AI SENSI DELLE LEGGI 248/2006 E 145/2018, Di Gioia Martinetti STP A RL, Iscrizione OMCEO n°44, Capitale sociale 10000, Polizza Reale Mutua n° 2545698, REA TO-1297767

