Come chiudere il diastema nei ragazzi: il ruolo dell’ortodonzia
Il diastema, cioè lo spazio tra i denti anteriori, è una caratteristica del sorriso molto visibile e, soprattutto nei più giovani, può diventare una fonte di disagio. Nel video viene presentato il caso di una ragazza di 12 anni con diastema, morso profondo e problemi di chiusura dei denti posteriori, trattata con un approccio ortodontico mirato e con un netto miglioramento in soli 9 mesi.
Che cos’è il diastema?
Il diastema è uno spazio tra i denti, spesso localizzato tra gli incisivi superiori. Nel video viene spiegato che si tratta di una caratteristica del sorriso che può risultare poco gradevole quando è evidente.
In passato, in alcuni contesti estetici, questo spazio era perfino considerato di moda, ma oggi il diastema viene più spesso percepito come un elemento da correggere, soprattutto quando è molto marcato.
CLICCA QUI PER VEDERE IL VIDEO DI QUESTO CASO CLINICO!
Perché il diastema può creare disagio nei ragazzi?
Nel caso mostrato, la paziente ha 12 anni e presenta uno spazio evidente tra i denti anteriori. Viene sottolineato un aspetto importante: il diastema non è solo una questione estetica.
Secondo quanto spiegato nel video, tra i giovani il diastema può diventare una delle caratteristiche del sorriso più facilmente oggetto di prese in giro da parte di compagni e coetanei. Per questo motivo, correggerlo può aiutare non solo a migliorare il sorriso, ma anche a rendere più sicura la persona che riceve il trattamento ortodontico.
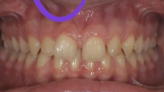
Una possibile causa del diastema: il frenulo a inserzione bassa
Una delle cause del diastema descritte nel video è il frenulo labiale con inserzione bassa.
Il frenulo viene descritto come una struttura fibromucosa, simile a una “corda”, che collega il labbro alla gengiva. Quando si inserisce troppo in basso, tra i denti anteriori, crea uno spessore che ostacola meccanicamente l’avvicinamento dei denti.
Nel video viene spiegato che, in questi casi, uno dei trattamenti utili per aiutare la chiusura del diastema è spostare più in alto il frenulo, così da rimuovere l’ostacolo che impedisce ai denti di avvicinarsi correttamente.
Il caso clinico: non solo diastema, ma anche problemi di chiusura
La paziente non presenta soltanto lo spazio tra gli incisivi. Dall’analisi clinica emerge anche una chiusura non corretta dei denti posteriori, con necessità di modificare i settori superiori per ottenere un incastro migliore con quelli inferiori.
Nel video viene mostrato che:
- il frenulo si inserisce molto vicino ai due denti anteriori;
- sono presenti anche piccoli spazi nell’arcata inferiore, anche se poco visibili;
- i settori posteriori superiori devono essere spostati per migliorare la chiusura.
Questo passaggio è importante perché fa capire come il diastema, in alcuni casi, non vada considerato isolatamente, ma all’interno di un quadro ortodontico più ampio.
Morso profondo e funzione: cosa succede quando i denti coprono troppo?
Nel video viene evidenziato anche un morso profondo.
Si spiega che, quando i denti superiori sono retroinclinati e coprono troppo quelli inferiori, possono obbligare la mandibola a compiere movimenti non ideali, con una maggiore sollecitazione di strutture:
- articolari,
- muscolari,
- dentali.
Anche questo elemento viene preso in considerazione nella pianificazione del trattamento.
Gli esami iniziali e la progettazione del trattamento
Il video mostra anche gli esami diagnostici iniziali:
- panoramica,
- teleradiografia.
Secondo quanto spiegato, questi esami servono per valutare l’inclinazione dei denti e le caratteristiche da considerare prima di iniziare. Una buona progettazione iniziale consente di essere più efficienti, ridurre i tempi e arrivare al risultato desiderato più rapidamente.
Come è stato pianificato il trattamento ortodontico
Nel video viene illustrata la simulazione del trattamento e la sequenza delle forze applicate.
1. Chiusura del diastema anteriore
La prima fase consiste nell’avvicinare i denti anteriori per iniziare a chiudere lo spazio.
2. Correzione della chiusura dei denti posteriori
Successivamente si lavora per far incastrare bene i denti posteriori, migliorando la relazione tra arcata superiore e inferiore.
3. Arretramento di canini e incisivi
Solo dopo aver creato le condizioni corrette, si passa all’arretramento dei denti anteriori superiori, mantenendo il controllo dell’inclinazione.
4. Trattamento estetico con attachment nascosti
Per rendere il trattamento più estetico, gli attachment in resina trasparente sono stati posizionati dietro incisivi e canini superiori, così da risultare meno visibili.
5. Uso degli elastici solo di notte
Nel caso presentato, il trattamento prevedeva anche l’uso di elastici soltanto durante il sonno, per aiutare il movimento dei denti superiori.
6. Correzione del morso profondo
Un altro obiettivo era ridurre la copertura eccessiva dei denti superiori su quelli inferiori, così da evitare il sovraccarico funzionale nei movimenti mandibolari.
Dopo 9 mesi: come è cambiato il sorriso
Dopo 9 mesi di terapia, nel video si osserva un cambiamento molto evidente.

Dopo 9 mesi si vede che:
- il frenulo è stato spostato più in alto;
- i denti anteriori si sono avvicinati;
- il diastema è quasi completamente chiuso;
- le mediane superiore e inferiore risultano centrate;
- la chiusura dei denti posteriori è migliorata;
- il morso è molto più equilibrato.
Conclusione
Questo caso mostra come il diastema nei ragazzi possa essere molto più di un semplice dettaglio estetico. Quando dietro lo spazio tra i denti ci sono anche un frenulo a inserzione bassa, un morso profondo e una chiusura scorretta, è fondamentale pianificare un trattamento completo.
INFORMAZIONE SANITARIA AI SENSI DELLE LEGGI 248/2006 E 145/2018, Di Gioia Martinetti STP A RL, Iscrizione OMCEO n°44, Capitale sociale 10000, Polizza Reale Mutua n° 2545698, REA TO-1297767


