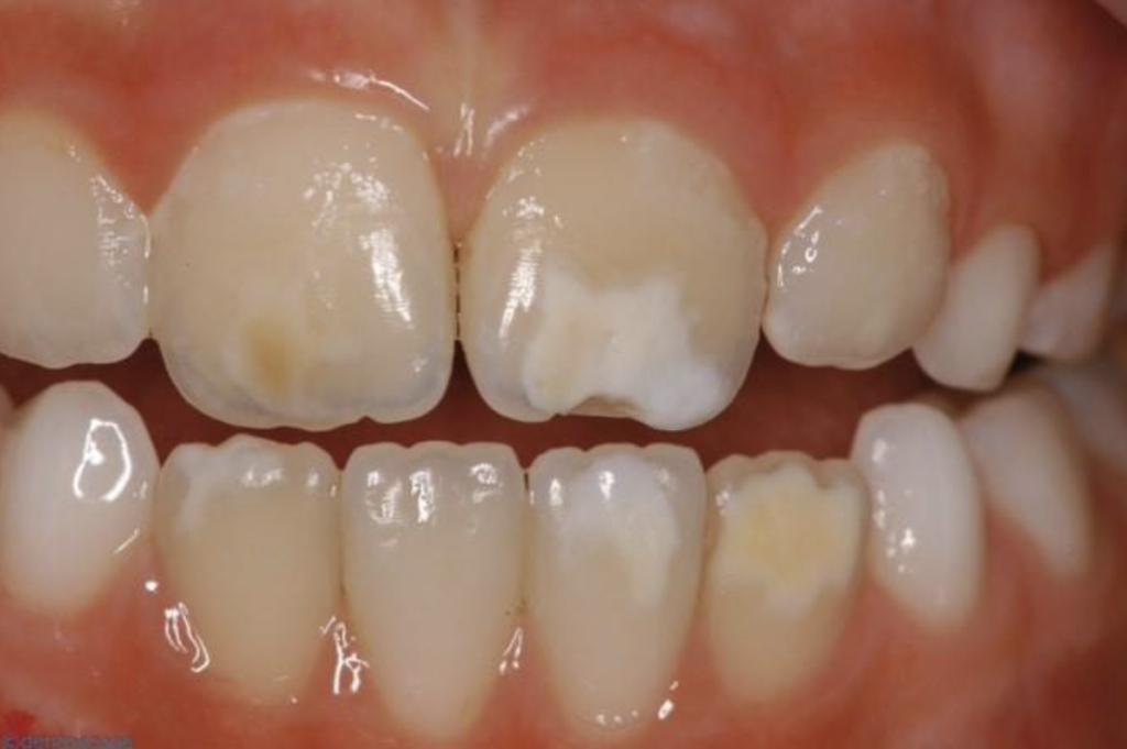
Le macchiette bianche sui denti dei bambini rappresentano un fenomeno che, negli ultimi anni, sta diventando sempre più frequente. Oggi ci occuperemo di conoscere le cause e dei possibili trattamenti per risolvere questo disagio. Spesso, non si tratta di un difetto puramente estetico ma la presenza di queste macchie chiamate ‘white spot lesion’, è un segnale che lo smalto è stato in un certo senso danneggiato.

La problematica puo’ essere localizzata sugli incisivi o sui molari, oppure anche estesa a tutti i denti. In base a questo prenderà nomi diversi:
- MIH: “Molar and Incisor Hupomineralization”, quindi la ipomineralizzazione degli incisivi e dei molari;
- EH: “Enamel Hypomineralization”, ovvero la ipomineralizzazione dello smalto generalizzata su tutta l’arcata dentaria
La MIH è caratterizzata dalla presenza di zone di opacità dello smalto di incisivi e molari permanenti, di colore bianco-giallo o giallo-marrone. Riguarda sempre maggiormente pazienti in età pediatrica e i casi riscontrati negli ultimi anni sono in netto aumento.
Si parla invece di EH, quando ad essere interessati da fenomeni di ipomineralizzazione dello smalto sono elementi dentari decidui ma anche definitivi.
Le cause
Oltre ad infastidire dal punto di vista estetico, le macchie dello smalto possono ricondurre a fattori sua genetici che ambientali. Non è sempre possibile purtroppo individuare da cosa derivino problemi di ipomineralizzazione in età pediatrica. La causa del fenomeno è da ricercare nel processo di formazione degli elementi dentari che prende i nome di odontogenesi, il quale avviene in età molto precoce durante i primi anni di vita del bimbo. Talvolta, le discolorazioni dello smalto derivano da traumi subiti in tenerissima età, durate la formazione dei denti permanenti, nel momento in cui i denti definitivi devono ancora iniziare a spuntare in arcata. Anche un’eventuale frequenza nell’assunzione di un particolare tipo di antibiotico o un’importante carenza di Vitamina D nei bimbi piccoli possono sicuramente influire per quanto riguarda l’insorgenza della problematica.
La fenomeno si presenta di solito intorno ai 7-8 anni di età e puo’ essere suddiviso in tre differenti gradi:
- Lieve: in questo stadio si evidenzia un cambiamento leggero nel colore dello smalto, con la comparsa di macchie biancastre a carico di almeno un incisivo e dei molari permanenti. Le zone interessate sono colpite soltanto a livello superficiale, non vi è quindi perdita sostanziale di sostanza dentale ma solamente un’alterata organizzazione dei cristalli dello smalto;
- Moderato: riguarda i molari e almeno un incisivo permanente sui quali sono presenti macchie di colore scuro, con indebolimento dello smalto conseguente, il quale a volte puo’ presentare delle piccole fratture;
- Severo: comporta una carenza di smalto importante, evidente anche alla vista e con esposizione dello strato di dentina sottostante. In questo stadio si puo’ riscontrare ipersensibilità dentinale, quando lo smalto si trova a contatto von sostanze fredde o particolarmente zuccherate, a volte addirittura anche soltanto a contatto con l’aria.
Quando il fenomeno di ipomineralizzazione dello smalto si trova allo stadio “severo”, puo’ aumentare anche il rischio di formazione di carie.
Come si possono trattare?
A seconda dello stadio del fenomeno, l’approccio terapeutico puo’ variare. Dopo aver effettuato una valutazione dell’estensione delle ipomineralizzazioni presenti, il dentista seleziona il trattamento più idoneo al caso specifico da risolvere. La cura della MIH e della EH in stadio lieve o moderato, puo’ avvenire per mezzo dei sistemi seguenti:
- Applicazioni topiche di fluoro, finalizzate a rimineralizzare la zone in cui sono presenti le macchie bianche dello smalto;
- Trattamenti desensibilizzanti, per ridurre i fenomeni di ipersensibilità sia al caldo che al freddo;
- Applicazione di prodotti topici a base di calcio oppure vernici speciali a rilascio progressivo di fluoro, ioni di calcio e fosfato.
Quando ci si trova allo stadio severo invece occorre procedere con altri trattamenti che prevendono delle piccole otturazioni a protezione delle zone di dentina esposte.

E’ fondamentale rivolgersi al proprio dentista per ogni dubbio o perplessità, così da poter intercettare qualsiasi fenomeno in tempo ed intervenire nel modo migliore!
