Skip to main content

Scopri come riconoscere e affrontare la MIH per proteggere il sorriso dei tuoi bambini🦷✨

Negli ultimi anni si sente parlare sempre più spesso di Ipomineralizzazione Molare-Incisiva, meglio conosciuta come MIH, una condizione che interessa lo smalto dei denti dei bambini. Ma di cosa si tratta esattamente? Perché è importante saperla riconoscere e intervenire il prima possibile?

Se sei un genitore e hai notato macchie strane sui denti del tuo bambino, oppure se tuo figlio lamenta fastidio ai denti durante i pasti o mentre si lava i denti, è possibile che tu abbia già avuto a che fare con questa problematica.

Come dentisti specializzati in odontoiatria pediatrica e ortodonzia, abbiamo deciso di dedicare questo approfondimento alla MIH, una condizione che, se intercettata precocemente, può essere gestita in modo efficace, proteggendo la salute orale dei più piccoli.


Che cos’è la MIH?

La MIH (Ipomineralizzazione Molare-Incisiva) è un difetto qualitativo dello smalto che colpisce principalmente i primi molari permanenti (i cosiddetti “denti dei 6 anni”) e, in molti casi, anche gli incisivi permanenti.

A differenza di una semplice macchia estetica, la MIH è legata a una minore quantità di minerali nello smalto, che risulta quindi più debole, fragile e suscettibile a sfaldamento, carie e ipersensibilità.

MIH

Perché succede?

L’origine della MIH è complessa e coinvolge diversi fattori che possono agire durante:

  • La gravidanza (malattie materne, carenze nutrizionali, esposizione a sostanze inquinanti)

  • Il parto (nascita prematura, basso peso, complicanze)

  • I primi anni di vita (infezioni respiratorie, febbre alta, uso di antibiotici)

In pratica, qualsiasi evento che interferisca con la corretta formazione dello smalto, soprattutto tra la nascita e i 3-4 anni, può contribuire all’insorgenza della MIH.


MIH: Come si Riconosce?🔍

I segni più evidenti che un genitore può notare sono:

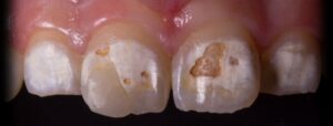
  • Macchie ben delimitate sullo smalto dei denti permanenti, con colori che vanno dal bianco-crema al giallo o marrone.

  • Le macchie spesso interessano in modo asimmetrico i molari e gli incisivi: non tutti i denti sono coinvolti e non tutti nella stessa misura.

  • Nei casi più severi, lo smalto può sfaldarsi o rompersi poco dopo l’eruzione, lasciando la dentina esposta e causando ipersensibilità e maggiore rischio di carie.

I sintomi più comuni:

  • Sensibilità dentale al freddo, al caldo o agli alimenti zuccherini.

  • Dolore durante lo spazzolamento o la masticazione.

  • Comparsa precoce di carie su denti appena spuntati, che avanzano molto più rapidamente del normale.

  • Talvolta, difficoltà ad anestetizzare efficacemente il dente durante le cure dentistiche.

Se hai notato uno o più di questi segnali, è fondamentale prenotare una visita specialistica quanto prima.


Non è solo un problema estetico: le conseguenze della MIH

MIH

Molti genitori pensano che si tratti solo di un problema estetico, ma purtroppo la MIH può avere conseguenze ben più importanti:

  • Difficoltà nella masticazione, con il rischio che il bambino eviti cibi duri o freddi.

  • Disagio psicologico, soprattutto se gli incisivi anteriori sono macchiati o alterati.

  • Maggiore rischio di sviluppare carie profonde, fino a richiedere trattamenti complessi come devitalizzazioni o, nei casi più gravi, l’estrazione del dente.

Inoltre, la MIH non trattata può compromettere la qualità di vita del bambino, generando paura del dentista a causa della sensibilità e delle procedure più complesse.

 


Come si Cura la MIH?

La buona notizia è che oggi esistono molteplici strategie per gestire efficacemente la MIH. Il trattamento varia a seconda della gravità del caso e dell’età del bambino.

1. Prevenzione e protezione

  • Applicazione di vernici al fluoro ad alta concentrazione per rinforzare lo smalto.

  • Uso di creme remineralizzanti che aiutano a rinforzare i denti a casa.

  • Applicazione di sigillanti protettivi nei solchi dei molari sani o poco compromessi.

  • Uso di prodotti desensibilizzanti per ridurre il fastidio.

2. Restauri conservativi

  • Ricostruzioni in composito estetico, che ripristinano la funzione e migliorano l’aspetto dei denti.

  • In alcuni casi, utilizzo di corone preformate in acciaio sui molari molto danneggiati, per proteggerli fino all’età adulta.

3. Nei casi più gravi

  • Si può ricorrere a corone in zirconia o restauri più complessi durante l’adolescenza.

  • Nei casi estremi, può essere valutata l’estrazione programmata del dente, seguita da un piano ortodontico che garantisca la corretta chiusura degli spazi.


Diagnosi Differenziale: Distinguere la MIH da Altre Alterazioni dello Smalto 🔄

La MIH deve essere differenziata da altre alterazioni dello smalto che possono presentare caratteristiche cliniche simili ma eziologia e trattamento differenti.

⚖️ Confronto con altre condizioni

MIH vs. Fluorosi dentale 📋

Caratteristica MIH Fluorosi
Opacità Demarcate, ben definite Diffuse, distribuzione simmetrica
Colore Bianco-giallo-marrone Principalmente bianco
Distribuzione Asimmetrica, molari e incisivi Simmetrica, tutti i denti erotti durante l’esposizione
Superficie Liscia, può sfaldarsi Porosità superficiale nelle forme moderate/severe
Eziologia Disturbi sistemici Eccessiva esposizione al fluoro durante la formazione dentale

MIH vs. Amelogenesi imperfetta 📊

Caratteristica MIH Amelogenesi imperfetta
Ereditarietà Non ereditaria Ereditaria (diversi pattern)
Coinvolgimento Limitato a specifici elementi Generalizzato a tutti i denti
Distribuzione Asimmetrica Simmetrica
Associazioni Fattori ambientali/sistemici Possibili sindromi associate
Familiarità Assente Presente

MIH vs. Ipoplasia dello smalto 🔄

Caratteristica MIH Ipoplasia dello smalto
Tipo di difetto Qualitativo (mineralizzazione alterata) Quantitativo (ridotto spessore dello smalto)
Aspetto clinico Opacità con spessore normale Solchi, fossette, riduzione di spessore
Fase di sviluppo coinvolta Maturazione dell’amelogenesi Secrezione della matrice
Eziologia Disturbi sistemici Traumi locali o disturbi sistemici

Il Ruolo Fondamentale della Diagnosi Precoce

Individuare la MIH al momento giusto è cruciale. Idealmente, la diagnosi dovrebbe avvenire intorno ai 6 anni, quando erompono i primi molari permanenti.

Una diagnosi tempestiva permette di:

  • Limitare il peggioramento della condizione.

  • Implementare da subito le giuste strategie preventive.

  • Evitare trattamenti più invasivi in futuro.


Perché è Importante Rivolgersi a uno Specialista?🌟

MIH

La MIH è una condizione complessa che richiede esperienza e competenza specifica in odontoiatria pediatrica. Quando si approccia l’MIH si deve tener conto:

  • Dell’età del bambino.

  • Della severità della condizione.

  • Delle esigenze estetiche, funzionali ed emotive.

Il nostro obiettivo è proteggere la salute dei denti dei vostri figli, ma anche garantire loro un rapporto sereno e positivo con il dentista.


La Salute del Sorriso Inizia Presto

Se sospetti che tuo figlio possa avere la MIH, non aspettare. Intervenire precocemente fa davvero la differenza per la salute presente e futura del suo sorriso.

Nel nostro Studio troverai due specialisti in Ortodonzia, il Dottor Di Gioia e il Dottor Martinetti, con una lunga esperienza.

Siamo profondamente convinti che intervenire precocemente sia fondamentale per garantire ai piccoli pazienti una crescita armoniosa del sorriso.🎯

  • Valutiamo ogni bambino in modo completo e personalizzato

  • Lavoriamo in sinergia con altri specialisti per offrire una soluzione davvero efficace e duratura

  • Utilizziamo tecnologie moderne e strumenti diagnostici avanzati, che ci permettono di individuare precocemente le alterazioni e scegliere il percorso terapeutico più adatto

 

Clicca sul link per ascoltare la storia del nostro paziente!

MIH